SALUD  
 
** Dermatología
* Las alteraciones y manchas persistentes en las uñas pueden avisar de la presencia de enfermedades cutáneas u orgánicas
*
* Trasplantes
* Doble trasplante de brazos para el soldado Marrocco
*
*

Médicos de España, Irlanda, Grecia y Portugal, han enviado una carta abierta común a los responsables políticos y autoridades sanitarias europeas.

*
* Tú Salud
* ¿Qué es la artroscopia?
*
*

La artroscopia es una técnica de cirugía que permite ver directamente el interior de una articulación y trabajar dentro de ella sin necesidad de abrirla

*
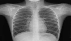
* Radiación
* Desarrollan un método para reducir la dosis de radiación al hacer una radiografía
 
Enfermedades Raras  
Sanidad prepara un Registro Nacional de Enfermedades Raras  
*

Juan Manuel Moreno, ha asegurado este viernes que el Ministerio de Sanidad, Servicios Sociales e Igualdad está "completamente volcado" con los afectados con las enfermedades raras y recordó que está trabajando en la elaboración de un registro nacional de enfermedades raras

*
  *
Obesidad *

Hallan un mecanismo responsable de la obesidad asociado a la hipertensión

*
*
Mitos y realidades *
Lo que verdaderamente dice la barriga de una embarazada *
*

En cuanto la gestación comienza a hacerse evidente, no pasa un día sin que alguien se aventure a adivinar el sexo, el tamaño o, incluso, la fecha de nacimiento del bebé sólo con mirar la forma, las dimensiones o la posición de su abdomen

*
*
Microlives *
Dos cigarrillos al día roban media hora de vida; 20 minutos de ejercicio dan una hora más *

 Fuente: Prensa                                                                                                             Mutua MAZ